5,420円
NECのニュース
~がん患者さんの個別化医療の実現を目指す~
日本電気株式会社(以下NEC)と株式会社biomy(以下biomy)は、デジタルパソロジー(注1)領域における解析プラットフォームの開発・拡大に向けた共同マーケティングおよび事業提携を行うことで基本合意書を締結しました。本提携を通じ両社は、がん患者さんの個別化医療を推進し、医療業界の発展に貢献することを目指します。

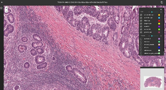
biomyのDeepPathFinder(TM)に入力するH&E染色デジタル病理画像

DeepPathFinder(TM)による解析結果。搭載するAIにより複数種類の細胞を検出。
【背景】
現在、患者さんの体質や病気の特徴に基づいて治療法を選択する個別化医療が広がりつつあります。がんが疑われる患者さんの場合、身体から採取した組織や細胞を病理医が顕微鏡で観察し、病変の良悪やがんの種類の最終判断を行う病理診断が行われます。昨今は病理診断において、デジタル病理画像をAIで解析することにより個別化医療につながる病理学的バイオマーカー(注2)を探索・検出し、より効果が見込まれる治療法や治療薬を選択する試みが進められています。
【提携の目的・概要】
NECは、最先端技術により様々な社会課題を解決する社会価値創造企業を目指しており、ヘルスケア・ライフサイエンス事業を成長戦略の柱の一つに位置付けています。画像解析を始めとするAI技術に強みを持つとともに、電子カルテなどの医療情報システムを長年にわたり医療機関に提供してきました。また、2019年に第一種医療機器製造販売業の許可を取得するなど、病理AIを含む医療機器の許認可に関する知見を有しています。
biomyは病理AI技術による個別化医療の実現を目指しており、AIを駆使したクラウドベースの解析プラットフォーム「DeepPathFinder(TM)」(注3)を保有しています。このプラットフォームはAIが自動でデジタル病理画像を解析し、各領域の細胞種別と組織種別を判定します。特にH&E染色画像(注4)のみからリンパ球やプラズマ細胞(注5)などの免疫細胞の検出が可能です。さらに、薬剤の治療効果や予後に関する特徴を定量化する機能も備えています。DeepPathFinder(TM)を活用することで、デジタルパソロジー領域での解析効率と精度を飛躍的に向上することができます。
本提携により両社の強みを融合し、製薬企業やアカデミア向けに病理画像解析を用いた新規病理学的バイオマーカーの探索体制を強化します。具体的には、以下サービスの提供を想定しています。
- 病理画像から病理学的バイオマーカーを探索するプラットフォームを製薬企業・アカデミア向けに提供するサービス
- NECおよびbiomyによる病理学的バイオマーカー探索サービス
- 探索した病理学的バイオマーカーを利用した医療機器承認取得
特にがん治療領域において、病理画像から得られるデータをもとに患者さんの病気の特徴を把握し、これに基づく治療方針策定を支援することを目指します。
【今後の展開】
両社は今後、次世代の病理解析プラットフォームの開発と、開発した病理学的バイオマーカーの医療現場での活用を通じて、がん治療における個別化医療の実現を目指します。
以上
(注1) デジタルパソロジー
顕微鏡での病理標本の観察を、従来の光学顕微鏡ではなくデジタル画像で実行する手法。
(注2) 病理学的バイオマーカー
バイオマーカーとは、疾患の有無や治療に対する反応の指標として、客観的に測定され評価される特性。本リリースでは病理画像の形態的特徴から特定されるバイオマーカーを「病理学的バイオマーカー」とよぶ。
(注3) 「DeepPathFinder(TM)」は研究用途のみの利用に限ります
(注4) H&E染色画像
ヘマトキシリン・エオジン染色(H&E染色)された標本の画像。H&E染色は病理組織診断時に必ず行われる基本的な染色。
(注5) リンパ球やプラズマ細胞
リンパ球は白血球の一種で免疫に関わる機能を持ち、T細胞、B細胞、NK細胞に大別される。また、プラズマ細胞はB細胞が成熟した段階で抗体を産生する。これらの細胞は、がん細胞を攻撃する役割を持つため、患者さん個々の免疫応答や腫瘍の特性を評価する手がかりとなる。これにより、免疫療法や特定の治療法が効果的かどうかを判断し、患者さんに最適な治療戦略を選択する「個別化医療」に役立ちます。
<本件のお問い合わせ先>
日本電気株式会社 ヘルスケア・ライフサイエンス事業部門
Email: [email protected]
日本電気株式会社(以下NEC)と株式会社biomy(以下biomy)は、デジタルパソロジー(注1)領域における解析プラットフォームの開発・拡大に向けた共同マーケティングおよび事業提携を行うことで基本合意書を締結しました。本提携を通じ両社は、がん患者さんの個別化医療を推進し、医療業界の発展に貢献することを目指します。

biomyのDeepPathFinder(TM)に入力するH&E染色デジタル病理画像

DeepPathFinder(TM)による解析結果。搭載するAIにより複数種類の細胞を検出。
【背景】
現在、患者さんの体質や病気の特徴に基づいて治療法を選択する個別化医療が広がりつつあります。がんが疑われる患者さんの場合、身体から採取した組織や細胞を病理医が顕微鏡で観察し、病変の良悪やがんの種類の最終判断を行う病理診断が行われます。昨今は病理診断において、デジタル病理画像をAIで解析することにより個別化医療につながる病理学的バイオマーカー(注2)を探索・検出し、より効果が見込まれる治療法や治療薬を選択する試みが進められています。
【提携の目的・概要】
NECは、最先端技術により様々な社会課題を解決する社会価値創造企業を目指しており、ヘルスケア・ライフサイエンス事業を成長戦略の柱の一つに位置付けています。画像解析を始めとするAI技術に強みを持つとともに、電子カルテなどの医療情報システムを長年にわたり医療機関に提供してきました。また、2019年に第一種医療機器製造販売業の許可を取得するなど、病理AIを含む医療機器の許認可に関する知見を有しています。
biomyは病理AI技術による個別化医療の実現を目指しており、AIを駆使したクラウドベースの解析プラットフォーム「DeepPathFinder(TM)」(注3)を保有しています。このプラットフォームはAIが自動でデジタル病理画像を解析し、各領域の細胞種別と組織種別を判定します。特にH&E染色画像(注4)のみからリンパ球やプラズマ細胞(注5)などの免疫細胞の検出が可能です。さらに、薬剤の治療効果や予後に関する特徴を定量化する機能も備えています。DeepPathFinder(TM)を活用することで、デジタルパソロジー領域での解析効率と精度を飛躍的に向上することができます。
本提携により両社の強みを融合し、製薬企業やアカデミア向けに病理画像解析を用いた新規病理学的バイオマーカーの探索体制を強化します。具体的には、以下サービスの提供を想定しています。
- 病理画像から病理学的バイオマーカーを探索するプラットフォームを製薬企業・アカデミア向けに提供するサービス
- NECおよびbiomyによる病理学的バイオマーカー探索サービス
- 探索した病理学的バイオマーカーを利用した医療機器承認取得
特にがん治療領域において、病理画像から得られるデータをもとに患者さんの病気の特徴を把握し、これに基づく治療方針策定を支援することを目指します。
【今後の展開】
両社は今後、次世代の病理解析プラットフォームの開発と、開発した病理学的バイオマーカーの医療現場での活用を通じて、がん治療における個別化医療の実現を目指します。
以上
(注1) デジタルパソロジー
顕微鏡での病理標本の観察を、従来の光学顕微鏡ではなくデジタル画像で実行する手法。
(注2) 病理学的バイオマーカー
バイオマーカーとは、疾患の有無や治療に対する反応の指標として、客観的に測定され評価される特性。本リリースでは病理画像の形態的特徴から特定されるバイオマーカーを「病理学的バイオマーカー」とよぶ。
(注3) 「DeepPathFinder(TM)」は研究用途のみの利用に限ります
(注4) H&E染色画像
ヘマトキシリン・エオジン染色(H&E染色)された標本の画像。H&E染色は病理組織診断時に必ず行われる基本的な染色。
(注5) リンパ球やプラズマ細胞
リンパ球は白血球の一種で免疫に関わる機能を持ち、T細胞、B細胞、NK細胞に大別される。また、プラズマ細胞はB細胞が成熟した段階で抗体を産生する。これらの細胞は、がん細胞を攻撃する役割を持つため、患者さん個々の免疫応答や腫瘍の特性を評価する手がかりとなる。これにより、免疫療法や特定の治療法が効果的かどうかを判断し、患者さんに最適な治療戦略を選択する「個別化医療」に役立ちます。
<本件のお問い合わせ先>
日本電気株式会社 ヘルスケア・ライフサイエンス事業部門
Email: [email protected]
この銘柄の最新ニュース
NECのニュース一覧- NSW Research Memo(2):優れたシステムを創造・提供し、社会を豊かにすることを目指す 今日 09:12
- SIGG Research Memo(2):システム開発事業とインフラ・セキュリティサービス事業を展開 2025/12/18
- 後場の日経平均144円高でスタート、住友鉱や日立などが上昇 2025/12/17
- 日経平均は29円高でスタート、NECやファーストリテなどが上昇 2025/12/17
- 日経平均は116円安でスタート、三井海洋やファナックなどが下落 2025/12/16
マーケットニュース
- 東京株式(前引け)=前日比567円高、ハイテク関連株を中心に買い流入 (12/19)
- <動意株・19日>(前引け)=イオンFS、津田駒、東京通信G、ワンプラ (12/19)
- ◎19日前場の主要ヘッドライン (12/19)
- <みんかぶ・個人投資家の予想から>=「売り予想数上昇」2位に大塚HD (12/19)
おすすめ条件でスクリーニングされた銘柄を見る
NECの取引履歴を振り返りませんか?
NECの株を取引したことがありますか?みんかぶアセットプランナーに取引口座を連携すると売買履歴をチャート上にプロットし、自分の取引を視覚的に確認することができます。
アセットプランナーの取引履歴機能とは
※アセプラを初めてご利用の場合は会員登録からお手続き下さい。